Rozhovor s patológom: COVID dokáže päťnásobne zväčšiť hmotnosť pľúc. Prosím všetkých, dajte sa čo najrýchlejšie zaočkovať
- „Keď pitvem dieťa alebo mladého človeka, občas pociťujem náznaky úzkosti“
- Hoci si patológa predstavujeme hlavne pri tele mŕtveho počas pitvy, je to len vedľajšia čast ich práce
- Viac než mŕtvym sa totiž venujú diagnostike a pomoci živým
- Zaujímavosti o tejto práci i o tom, čo nachádza u pacientov, ktorí podľahli korone, nám porozprával mladý patológ zo Slovenska Dominik Hraboš
- „Keď pitvem dieťa alebo mladého človeka, občas pociťujem náznaky úzkosti“
- Hoci si patológa predstavujeme hlavne pri tele mŕtveho počas pitvy, je to len vedľajšia čast ich práce
- Viac než mŕtvym sa totiž venujú diagnostike a pomoci živým
- Zaujímavosti o tejto práci i o tom, čo nachádza u pacientov, ktorí podľahli korone, nám porozprával mladý patológ zo Slovenska Dominik Hraboš
Chladná miestnosť, mraziace boxy s telami a pitevné stoly uprostred, na ktorých ležia bledé, nehybné telá, ktoré rozrežú a otvoria. Doslova takto, ako z nejakého hororu, si väčšina z nás predstavuje prácu patológa.
V skutočnosti je ale práca s mŕtvymi a robenie pitvy skôr ich vedľajšia činnosť. Dnešní moderní patológovia pomáhajú skôr živým, než tým, ktorým sa už pomôcť nedá. „Kedysi sa hovorievalo, že patológ vie všetko, ale neskoro. To už dnes tak úplne neplatí. Dnes si na patológii niekedy naivne myslíme, že vieme skoro všetko a snažíme sa to vedieť čo najrýchlejšie,“ hovorí nám o svojej práci mladý patológ zo Slovenska, ktorý aj vyučuje v Českej republike, Dominik Hraboš.
Viac o jeho zaujímavej práci, v ktorej vidí umenie, ale aj o stále aktuálnej korone – aké pľúca nachádza v telách pacientov, ktorí jej podľahli – nám porozprával v rozhovore.

Ako u mŕtveho vieš, či naozaj zomrel na Covid-19?
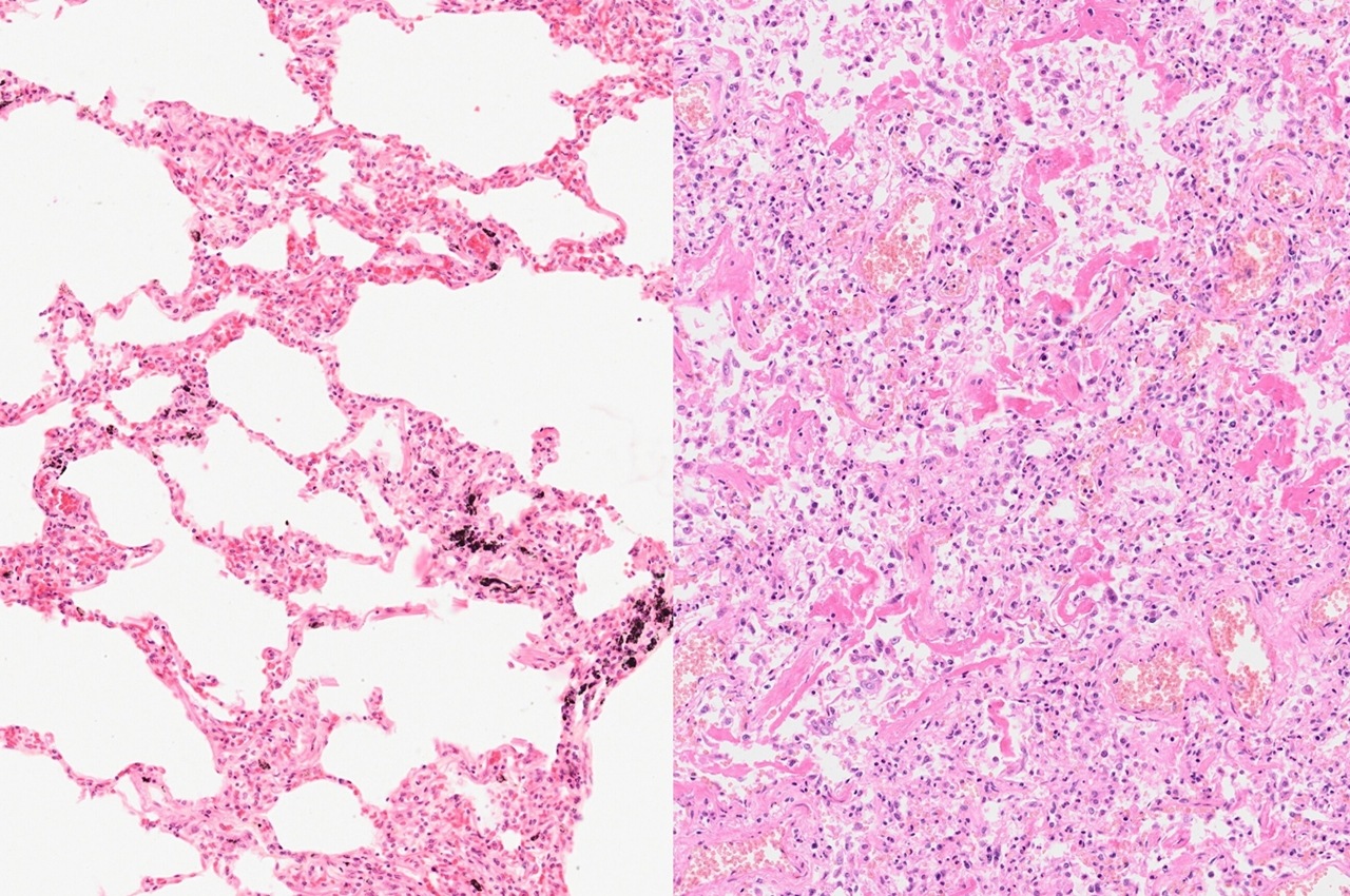
Diagnóza je v takom prípade väčšinou veľmi jednoznačná. Už dlho vieme, že vírus SARS-CoV-2 vstupuje do tela väzbou na špecifický proteín, ktorý sa nachádza okrem iného v respiračnom epiteli dýchacích ciest a v bunkách pľúc.
Absolútna väčšina SARS-CoV-2 pozitívnych pacientov s rozvinutým ochorením Covid-19, ktorí sa dostanú k nám na pitevný stôl, umiera práve dôsledkom ťažkého poškodenia pľúc. Na úvod prebieha ochorenie ako vírusová pneumónia, veľmi rýchlo však môže dôjsť v rozvoju stavu, ktorý sa klinicky nazýva ARDS. Je to skratka pre syndróm akútnej respiračnej tiesne, ktorý je veľmi veľavravný.
Normálne, nepoškodené pľúca sú vzdušné, ľahké, na pohmat mäkké. V alveolách, drobných dutinkách, ktoré tkanivo pľúc tvoria, sa za bežných okolností vyskytuje vzduch. Počas ARDS dochádza k pomerne rýchlemu a drastickému vyplneniu týchto dutiniek najskôr tekutinou, následne bielkovinovým materiálom, imunitnými bunkami a nakoniec v časti prípadov až väzivom.
Hmotnosť takýchto pľúc sa zvyšuje často až na päťnásobok bežných hodnôt, pľúca sa stanú tuhými, nevzdušnými. V takomto stave pľúca nie sú schopné správne vymieňať dýchacie plyny a pacient sa jednoducho zadusí.

Aby toho nebolo málo, stav môže byť ďalej komplikovaný rozvojom hnisavej bakteriálnej pneumónie, teda zápalu pľúc. Pozorujeme dobre známe krvné zrazeniny, ktoré narušujú správny prietok krvi. Tkanivá tak nie sú v postihnutých oblastiach dostatočne zásobované kyslíkom a živinami, takže môžu až odumierať.
Boli márnice v posledných mesiacoch naozaj výrazne plnšie, než inokedy?
Bohužiaľ, áno. Boli tu aj momenty, keď sme prekročili kapacitu našich chladiacich boxov a musel byť pre patológiu a súdne lekárstvo pristavený mobilný chladiaci box v areáli nemocnice. Stav bol spôsobený aj časovým vyťažením krematórií a dlhším čakaním na pohreby.
Dôležitejšie ako osobná skúsenosť na jednom pracovisku, sú ale celkové štatistiky a tie tiež hovoria hovoria jasne.
Ministerstvo zdravotníctva Českej Republiky momentálne eviduje viac než 29 000 úmrtí spôsobených ochorením Covid-19. Tieto čísla sa jednoznačne odrážajú na medziročnom náraste celkového počtu úmrtí v republike. Epidemiológovia sa budú týmto číslam v najbližších rokoch venovať detailne a z každého uhlu pohľadu.
Ja osobne si už na margo pandémie dovolím iba jednu malú poznámku: Prosím všetkých, ktorí majú tú možnosť, aby sa dali čo najrýchlejšie zaočkovať.
Dokážeš vždy odhaliť príčinu smrti, alebo sa to niekedy nepodarí?
Pitvy na patológii prebiehajú v tesnej súčinnosti s klinikou, na ktorej pacient zomrel. To nám dáva obrovskú výhodu, pretože máme veľmi presné a detailné informácie o pacientovom zdravotnom stave pred smrťou. Je to tiež jeden zo zásadných rozdielov medzi patológiou a súdnym lekárstvom.
Všetky procesy v tele sú rôznym spôsobom previazané. Napríklad v prípade úmrtia spôsobeného infarktom srdca, je bezprostredná príčina smrti jednoznačná. To ale patológovi nestačí, musí ísť hlbšie a zistiť, čo infarkt spôsobilo.
Najčastejšie ide o vytvorenie krvnej zrazeniny, ktorá sa objaví v oblasti aterosklerózou poškodenej cievy zásobujúcej srdce. Môžeme ísť ešte hlbšie a pýtať sa, čo spôsobilo aterosklerózu, aké sú rizikové faktory jej vzniku. Napríklad vek, fajčenie, obezita, atď.
Pri niektorých jednoznačných infarktoch však v cieve krvnú zrazeninu nemusíme nájsť, preto sa naša reťaz diagnóz môže zastaviť. Platí, že bezprostredná príčina smrti je spravidla jasná, ale nemusí sa nám vždy podariť zmapovať celý priebeh stavu, ktorý k nej viedol.
To dokáže byť naozaj iritujúce.

Treba mať na túto robotu silný žalúdok, alebo si človek jednoducho zvykne?
Nemyslím si, že patológ potrebuje silnejší žalúdok, ako napríklad chirurg alebo gynekológ. Všetky chirurgické obory, rovnako ako my, pracujú s morfologickým podkladom choroby, s človekom ako fyzickou bytosťou, ktorá krváca a má vnútorné orgány.
To, že ja ako patológ, na rozdiel od nich, pri pitve pracujem s mŕtvymi, je ale v niektorých situáciách naozaj psychicky náročné.
Keď pitvem dieťa alebo mladého človeka, občas pociťujem náznaky úzkosti. To ale nemá nič spoločné so slabým žalúdkom, to je známka toho, že zatiaľ nie som cynik.
Čítaj viac z kategórie: Rozhovory