KVÍZ: Toto je učivo o ľudskom tele, ktoré musí ovládať každý siedmak na základnej škole. Jeho náročnosť prekvapí

  • Prírodopis je veľmi potrebným predmetom vo vyučovacom systéme základnej školy
  • Prostredníctvom neho žiaci získavajú nové vedomosti o svete, prírode aj ľudskom pokolení
  • Otestuj sa, aké sú tvoje znalosti
prídopis2
  • Prírodopis je veľmi potrebným predmetom vo vyučovacom systéme základnej školy
  • Prostredníctvom neho žiaci získavajú nové vedomosti o svete, prírode aj ľudskom pokolení
  • Otestuj sa, aké sú tvoje znalosti
ČLÁNOK POKRAČUJE POD REKLAMOU

Prírodopis je veľmi dôležitým predmetom pre žiakov základnej školy. Prostredníctvom neho spoznávajú svet, prírodu aj ľudské pokolenie. Niektorí zvedaví žiaci ho obľubujú a nedajú naň dopustiť, iní by zas boli najradšej, keby sa vôbec nevyučoval.

V siedmom ročníku základnej školy preberajú žiaci na prírodopise ľudské telo. Školáci sú tak oboznámení so zložitým fungovaním ľudského organizmu. 

Poznatky z obehovej sústavy, pohybovej sústavy, fungovanie srdca, svalov či kostry, o tom všetko a množstve ďalších vecí musia mať deti prehľad. Trúfneš si ešte na toto učivo? Otestuj sa, aké sú tvoje znalosti ohľadom ľudského tela. 

Osovú kostru tvorí:

phil-hearing-FbVLwpp41fY-unsplash Unsplash/Phil Hearing
Správne! Nesprávne!

Osová kostra alebo axiálny skelet podľa učebníc prírodopisu tvorí lebka, chrbtica, rebrá, hrudná kosť. Niektorí odborníci sa však domnievajú, že lebka by k osovej kostre nemala byť zaradená, pretože je vývojovo aj funkčne odlišná.

Kosť lebky, ktorá je pripojená pohyblivým kĺbom, sa nazýva:

anne-nygard-gtoD_k0dSqM-unsplash Unsplash/Anne Nygård
Správne! Nesprávne!

Sánka je dolnou čeľusťou u stavovcov a zároveň ide o jedinú pohyblivú kosť lebky.

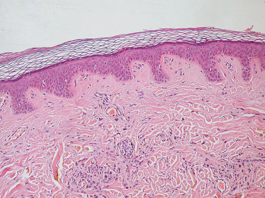
Funkciou zamše je:

Normal_Epidermis_and_Dermis_with_Intradermal_Nevus_10x (1) Wikimedia Commons/Kilbad
Správne! Nesprávne!

Zamša je najhrubšia časť kože. Ide o spojivové tkanivo, ktoré má veľa elastických fibríl a bunkových zložiek. Jej funkciou je udržiavanie stálej teploty tela a vylučovanie odpadových látok z tela.

Funkciou nervovej sústavy nie je:

camilo-jimenez-0yLmwcXLwLw-unsplash Unsplash/camilo jimenez
Správne! Nesprávne!

Funkciou nervovej sústavy nie je prísun energie do tela. Nervová sústava je orgánová sústava pozostávajúca z nervových buniek alebo buniek nervových orgánov. Základnou stavebnou jednotkou nervovej sústavy je neurón.

Najväčším orgánom tela je:

kira-auf-der-heide-_Zd6COnH5E8-unsplash Unsplash/Kira auf der Heide
Správne! Nesprávne!

Koža je považovaná za najväčší orgán tela. Koža dospelého človeka má povrch 1,5 až 2 m2. Koža hlavy tvorí 11%, trupu 36%, horných končatín 23%, a dolných končatín 30% z celkovej plochy kože. Váži v priemere 3 kg, čo je 1/10 celkovej hmotnosti tela. Jej hrúbka sa pohybuje od 0,5 mm do 5 mm.

Kostru dospelého človeka tvorí približne:

mathew-schwartz-8rj4sz9YLCI-unsplash Unsplash/Mathew Schwartz
Správne! Nesprávne!

Kostru dospelého človeka tvorí približne 206 kostí. Kostra dieťaťa pri pôrode má kostí viac, a to približne 270. Postupom času sa niektoré kosti zrastú a zmenšuje sa aj ich počet. Počet kostí môže byť u dospelých jedincov rôzny, všetko závisí od genetiky a veku. Hmotnosť kostí zodpovedá 14 % hmotnosti teľa, u priemerného človeka približne 10 – 11 kilogramov.

Základné krvné skupiny sú:

national-cancer-institute-egT3xtDu9DQ-unsplash Unsplash/National Cancer Institute
Správne! Nesprávne!

Krvná skupina alebo krvný typ je charakteristika vlastností červených krviniek v krvi jedinca, resp. sacharidov a bielkovín na ich bunkovej membráne. Základné krvné skupiny sú A, B, AB, 0. Okrem toho poznáme aj približne ďalších 50 systémov krvných typov.

Schopnosť nervových buniek reagovať na podnety nazývame:

girl-with-red-hat-Jq67nvYwUdE-unsplash Unsplash/Girl with red hat
Správne! Nesprávne!

Schopnosť nervových buniek reagovať na podnety z vonkajšieho a vnútorného prostredia nazývame dráždivosť.

Ľudské telo sa nezbavuje odpadových látok:

olenka-kotyk-OJZVjMYUMdY-unsplash Unsplash/Olenka Kotyk
Správne! Nesprávne!

Ľudské telo sa nezbavuje odpadových látok pomocou opornej sústavy. Oporná sústava tvorí oporu a ochranu organizmu.

Počas 24 hodín sa utvorí v tele človeka približne:

gabe-pierce-C_WBqsvgwv0-unsplash Unsplash/Gabe Pierce
Správne! Nesprávne!

U človeka sa vytvorí za 24 hodín približne 1,5 l moču.

Tmavohnedé kožné farbivo, ktoré obsahujú bunky spodnej časti pokožky, sa nazýva:

nathan-dumlao-rjEIEZcbCYY-unsplash Unsplash/Nathan Dumlao
Správne! Nesprávne!

Tmavohnedé kožné farbivo, ktoré obsahujú bunky spodnej časti pokožky, sa nazýva pigment. Hlavným pigmentom na povrchu ľudského organizmu je melanín obsiahnutý v koži, vlasoch a oku.

Pri jednom vdychu a výdychu sa vymení približne:

eli-defaria-vCzh1jOyre8-unsplash Unsplash/Eli DeFaria
Správne! Nesprávne!

Pri jednom vdychu a výdychu v pokoji sa v pľúcach vymení približne 0,5 litra vzduchu.

Súčasťou stredného ucha sú:

joeyy-lee-i8RHh4yB1us-unsplash Unsplash/Joeyy Lee
Správne! Nesprávne!

Súčasťou stredného ucha sú kladivko, nákovka, strmienok. Stredné ucho je časť ucha. Ide o systém vzduchom vyplnených dutín, vystlaných sliznicou.

Cípovité chlopne umožňujú:

robina-weermeijer-NIuGLCC7q54-unsplash Unsplash/Robina Weermeijer
Správne! Nesprávne!

Medzi srdcovou predsieňou a komorou sa nachádzajú cípovité chlopne, ktoré oddeľujú predsieň od komory a fungujú ako jednosmerné ventily. Umožňujú prúdenie krvi len jedným smerom.

Mužské pohlavné orgány tvorí:

abdullah-ali-0bDTKgJm9uc-unsplash Unsplash/abdullah ali
Správne! Nesprávne!

Mužské pohlavné orgány tvorí penis, miešok, semenníky, semenovody.

K splynutiu vajíčka so spermiou dochádza:

deon-black-1NvNQIYToic-unsplash Unsplash/Deon Black
Správne! Nesprávne!

K splynutiu vajíčka so spermiou dochádza vo vajíčkovode. Po oplodnení sa vajíčko z vajíčkovodu pomocou riasiniek posúva smerom do maternice.

Prírodopis - Ľudské telo
Výborne

camilo-jimenez-0yLmwcXLwLw-unsplash

Výborne, tvoje znalosti z prírodopisu sú veľmi dobré. Učivo o ľudskom tele ešte veľmi dobre ovládaš.
Dobre

olenka-kotyk-OJZVjMYUMdY-unsplash

Dobre, s niečím si sa potrápil, no niečo si hravo zvládol.
Nevadí

mathew-schwartz-8rj4sz9YLCI-unsplash

Nevadí, učivo z prírodopisu o ľudskom tele si už asi zabudol.

Čítaj viac z kategórie: Zaujímavosti

Zdroj: O škole 

Najnovšie videá

Trendové videá