Na Slovensku bola potvrdená infekcia, z ktorej behá mráz po chrbte. Pľúcneho červa po prvý raz našli u človeka

  • Na Slovensku dnes potvrdili prvý prípad infekcie človeka pľúcnym červom, ide o pacienta z Nitrianskeho kraja
  • Prípad potvrdil aj Parazitologický ústav Slovenskej akadémie vied v Košiciach.
pjimage – 2021-07-20T195722.957
  • Na Slovensku dnes potvrdili prvý prípad infekcie človeka pľúcnym červom, ide o pacienta z Nitrianskeho kraja
  • Prípad potvrdil aj Parazitologický ústav Slovenskej akadémie vied v Košiciach.
ČLÁNOK POKRAČUJE POD REKLAMOU

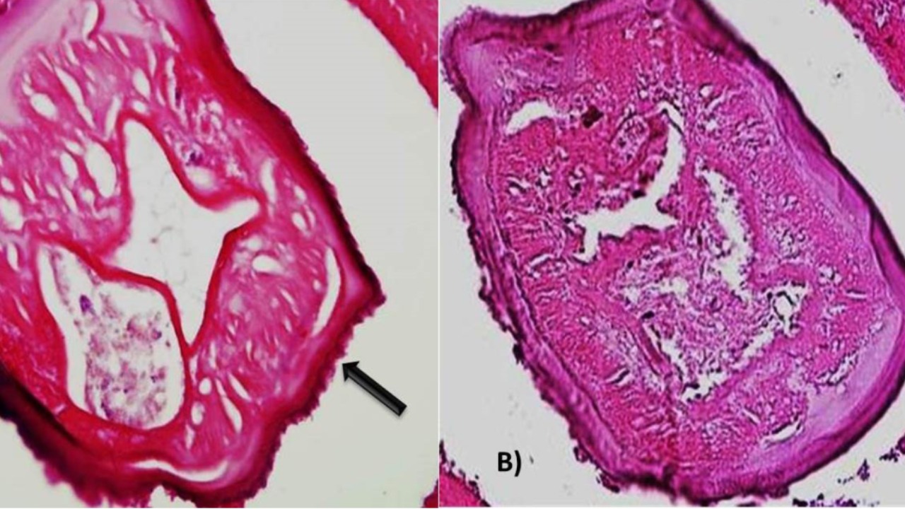
O prípade infekcie človeka pľúcnym červom informuje Slovenská akadémia vied na svojom webe. Pre toto závažné ochorenie je charakteristické formovanie uzlov v pľúcach, ktoré sa často diagnostikujú ako malígne tumory. 

Pôvodcami infekcie sú infikované psy, no prenášajú ju aj komáre. Podľa SAV sa priemerná prevalencia parazita dlhodobo pohybuje na úrovni 11 až 13 percent s kulmináciou prípadov v južných regiónoch, kde môže infekcia postihnúť až tretinu psej populácie.

zdroj: Martina Miterpáková, Daniela Antolová, Parazitologický ústav SAV

Prípady nákazy u ľudí sú veľmi zriedkavé. Najčastejšie sa však objavuje v Japonsku a USA. Podľa posledných údajov European Society of Dirofilariosis and Angiostrongylosis je u ľudí v Európe doteraz registrovaných vyše 4200 prípadov infekcie spôsobenej druhom D. repens, a iba 30 prípadov vyvolaných druhom D. immitis. Tieto údaje sú dostupné na webe Slovenskej akadémie vied. 

 

Čítaj viac z kategórie: Zo Slovenska

Zdroj: SAV

Najnovšie videá

Trendové videá