Nová štúdia našla prepojenie očkovania s rizikom vzniku Alzheimerovej choroby

  • Očkovanie a výskyt Alzheimerovej choroby spolu súvisia
  • Vedci zistili, že ľudia, ktorí v detstve podstúpili očkovanie, sú menej rizikoví
test na Alzheimerovu chorobu
  • Očkovanie a výskyt Alzheimerovej choroby spolu súvisia
  • Vedci zistili, že ľudia, ktorí v detstve podstúpili očkovanie, sú menej rizikoví
ČLÁNOK POKRAČUJE POD REKLAMOU

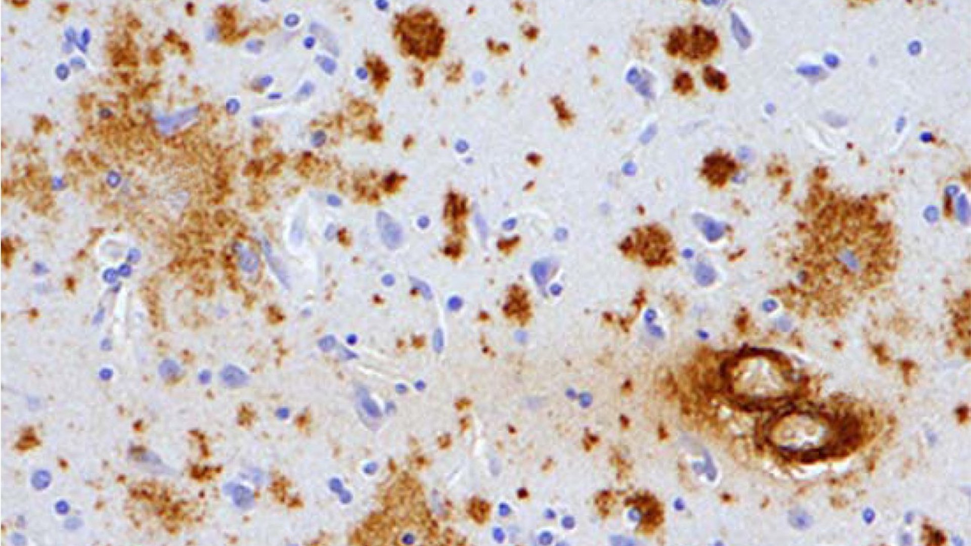
Podľa nového výskumu sa očkovanie proti viacerým chorobám spája so zníženým rizikom vzniku Alzheimerovej choroby. Konkrétne vo vekovej kategórii 65 rokov a viac je výrazne nižšia pravdepodobnosť vzniku spomínanej choroby. Ide o výskum Texaskej univerzity v Houstone, ktorý bol neskôr uverejnený v časopise Journal of Alzheimer’s Disease.

„Zaujímalo nás, či je nález chrípky špecifický pre vakcínu proti chrípke. Tieto údaje odhalili, že aj niekoľko ďalších vakcín pre dospelých bolo spojených so znížením rizika Alzheimerovej choroby,“ povedal Paul Schulz, vedúci autor štúdie.

Okrem toho sa očkovanie, konkrétne proti tetanu, záškrtu s alebo bez čierneho kašľa, herpesu, známejšieho ako pásový opar, a pneumokokom spája s ochranou pred infekčnými chorobami a demenciou. Len v Spojených štátoch Alzheimerovou chorobou trpí v USA viac ako 6 miliónov obyvateľov, pričom ich počet v dôsledku starnutia populácie krajiny rastie, ako informuje denník The Jerusalem Post.

„Predpokladáme, že znížené riziko Alzheimerovej choroby spojené s očkovaním je pravdepodobne spôsobené kombináciou viacerých mechanizmov,“ povedal Avram Bukhbinder, jeden z ďalších spoluautorov štúdie.

Alzheimerova choroba je progresívna a nevyliečiteľná neurodegeneratívna choroba mozgu, ktorá postihuje pamäť, kognitívne funkcie a správanie jednotlivca. Je najčastejšou príčinou demencie – stavu, pri ktorom sa postupne zhoršuje schopnosť jednotlivca fungovať samostatne a normálne vo svojom každodennom živote.

Vakcína proti Alzheimerovi

Toto zistenie vedcov prichádza len pár dní po tom, čo iný tím odborníkov zverejnil štúdiu, ktorá poukázala na ľudí zaočkovaných aspoň jednou dávkou vakcíny proti chrípke. U nich bola totiž pravdepodobnosť vzniku Alzheimerovej choroby o 40 % nižšia ako u ich neočkovaných rovesníkov. 

Očkovanie pre seniorov je rovnako dôležité ako pre deti v útlom veku, pripomína štúdia. Očkovanie totiž chráni deti, ale aj ich komunitu pred infekčnými chorobami. „Tento výskum poukazuje na to, aké dôležité je, aby pacienti mali ľahký prístup k bežnému očkovaniu dospelých,“ povedal Harris, spoluator štúdie.

Samotná vakcína na ochranu proti pneumokokovým infekciám sa odporúča v USA starším ako 50 rokov a ľuďom v Austrálii a Spojenom kráľovstve starším ako 70 rokov.

„Vakcíny môžu zmeniť spôsob, akým imunitný systém reaguje na hromadenie toxických proteínov, ktoré prispievajú k Alzheimerovej chorobe, napríklad zvýšením účinnosti imunitných buniek pri odstraňovaní toxických proteínov alebo ‚zdokonalením‘ imunitnej reakcie na tieto proteíny tak, aby sa znížilo ‚vedľajšie poškodenie‘ blízkych zdravých mozgových buniek,“ dodal Avram Bukhbinder, jeden zo spoluautorov štúdie.

Tri protilátky proti amyloidu, ktoré sa momentálne používajú na liečbu Alzheimeru, spomaľujú ochorenie o 25 %, 27 % a 35 %.

Svetelné zmeny

Symptómy Alzheimerovej choroby u niektorých pacientov môže zhoršiť vystavenie sa svetlu v nevhodný denný čas. Nové zistenia môžu pomôcť pri vývoji nových terapií na liečbu tohto neurologického ochorenia. TASR informuje podľa denníka The Independent.

Výskum tímu z University of Virginia v USA publikovaný vo vedeckom časopise Frontiers in Aging Neuroscience uvádza, že symptómy Alzheimerovej choroby sa zhoršili pri vystavení sa silnému svetlu neskoro počas dňa. To mohlo spôsobiť poruchy spánku, o ktorých sa predpokladá, že prispievajú k progresii ochorenia.

Opatrovatelia ľudí s Alzheimerom u pacientov často pozorujú problémy s nepravidelným spánkom. Nová štúdia naznačuje, že terapia využívajúca svetlo by mohla lepšie zvládnuť ich spánkový cyklus, dodáva TASR.

Čítaj viac z kategórie: Zo sveta

Zdroje: The Jerusalem Post, Science Daily, AI

Najnovšie videá

Trendové videá