Innovation Hub AGEL mení budúcnosť zdravotníctva
Zdravotníctvo prechádza technologickou revolúciou, no cesta od inovatívnych nápadov k reálnemu využitiu v praxi býva často zdĺhavá. Skupina AGEL sa rozhodla tento proces urýchliť a prinášať nové technológie tam, kde majú najväčší zmysel, priamo k pacientom a zdravotníkom. Výsledkom je vznik AGEL Innovation Hubu, ktorý spája odborníkov z medicíny, biomedicínskeho inžinierstva, IT aj manažmentu. Ich spoločným cieľom je rozvíjať umelú inteligenciu a digitálne riešenia naprieč celou skupinou AGEL a meniť budúcnosť zdravotnej starostlivosti už dnes.
O tom, ako projekt funguje v praxi, aké sú jeho ciele a čo nové technológie prinášajú lekárom i pacientom, hovoria Ing. Ján Dubaj, vedúci AGEL Innovation Hubu, a Ing. Jan Hečko, Ph.D., MBA, LL.M., garant projektu.
Aké sú ciele Innovation Hub v horizonte najbližších rokov?
J. Dubaj: Naším cieľom je posilniť pozíciu skupiny AGEL v oblasti digitálnej medicíny a umelej inteligencie. Chceme zefektívniť diagnostiku, liečbu a prevenciu aj prostredníctvom technológií, ktoré lekárom reálne pomáhajú. V nasledujúcich rokoch plánujeme rozšíriť implementované riešenia naprieč nemocnicami, zjednocovať dátovú infraštruktúru a podporovať vzdelávanie zdravotníkov v oblasti AI.
Ako vyberáte projekty, ktoré budú súčasťou platformy?
J. Dubaj: Výber prebieha podľa jasných kritérií – hodnotíme klinický prínos, technologickú pripravenosť, ekonomickú návratnosť a možnosť nasadenia vo viacerých zdravotníckych zariadeniach naprieč Českou aj Slovenskou republikou. Každý projekt následne prechádza schválením Innovation Hub AGEL. Veľmi často systémy podliehajú pilotnej prevádzke v jednom či vo viacerých zdravotníckych zariadeniach v našej skupine.

Akým spôsobom spolupracujete s nemocnicami a firmami?
J. Hečko: Spolupráca je obojstranná. S nemocnicami komunikujeme prostredníctvom siete biomedicínskych inžinierov (tzv. koordinátori IH), ktorí zabezpečujú technickú a organizačnú podporu implementácie. S vývojármi riešime integráciu do nemocničných systémov, testovanie aj úpravy podľa potrieb klinickej praxe. Naším cieľom je, aby sa technológie stali prirodzenou súčasťou každodennej prevádzky.
Pozrime sa bližšie na systém MAIA. Aké sú prvé klinické výsledky alebo spätná väzba od lekárov, ktorí systém MAIA používajú?
J. Hečko: Spätná väzba je veľmi pozitívna. Lekári oceňujú presnosť detekcie, prehľadné rozhranie a rýchle vyhodnotenie kolonoskopických nálezov. MAIA pomáha zachytiť aj veľmi drobné lézie, ktoré by inak mohli uniknúť, a zlepšuje tak kvalitu vyšetrenia.
Aké technické alebo organizačné výzvy ste museli riešiť pri integrácii MAIA do nemocničných systémov?
J. Dubaj: Najväčšou výzvou bola kompatibilita s nemocničným prostredím. Okrem toho sme museli nastaviť bezpečný prenos dát a užívateľské oprávnenia v súlade s legislatívou o ochrane osobných údajov. Dnes už máme proces stabilný a prenos skúseností medzi nemocnicami prebieha hladko.
Ako presná ja Carebot AI v porovnaní s tradičnou rádiologickou analýzou?
J. Hečko: Presnosť hodnotenia je porovnateľná s výsledkami skúseného rádiológa. V niektorých prípadoch dokonca Carebot pomohol odhaliť drobné nálezy, ktoré by lekár nemusel zbadať. Nástroj tak funguje ako druhý kontrolný mechanizmus a prispieva k väčšej istote pri diagnostike.
Plánujete rozšíriť Carebot aj na iné typy zobrazovacích metód?
J. Hečko: Aktuálne využívané moduly sú Hrudník CXR a Kosti. Každý z modulu vyhodnocuje danú oblasť, či už z pohľadu lézií, kalcifikácií, alebo zlomenín. Rozšírenie na ďalšie typy zobrazovacích metód bude určite nasledovať.
Systém PM Cardio – v akých najčastejších prípadoch pomáha lekárom pri rozhodovaní?
J. Hečko: PM Cardio pomáha predovšetkým v situáciách, keď je potrebné rýchlo vyhodnotiť EKG – napríklad pri podozrení na arytmiu, fibriláciu sieni alebo ischémiu. Lekár má vďaka aplikácii výsledok v priebehu niekoľkých sekúnd priamo v mobile, čo výrazne skracuje dobu rozhodovania. Navyše vieme, že niektoré ischémie môžu byť pri únave nejasné alebo prehliadnuté. To nám vychádza z dát PM Cardio.
Je aplikácia PM Cardio určená len pre nemocničné prostredie, alebo aj pre ambulantných lekárov?
J. Hečko: Aplikáciu môžu používať aj všeobecní lekári či špecialisti mimo nemocnice. Je navrhnutá tak, aby bola jednoduchá a dostupná – stačí mobilný telefon a EKG záznam. Vďaka tomu je vhodná aj pre rýchly skríning v teréne.
Ako fungujú senzory Hippo a aké dáta zbierajú od pacientov?
J. Hečko: Senzory Hippo merajú hladinu glukózy a ďalšie parametre. Dáta sa odosielajú do aplikácie pacienta a lekárskeho systému, kde je možné sledovať vývoj v čase. Diabetológ tak môže upravovať liečbu podľa aktuálneho stavu pacienta, čo prináša personalizovanejšiu starostlivosť.

Aké projekty sú súčasťou platformy AGEL Innovation Hub?
MAIA:
Skupina AGEL rozširuje využívanie umelej inteligencie MAIA pri kolonoskopii, čím prináša nový štandard v gastroenterológii. MAIA v reálnom čase pomáha lekárom odhaliť aj drobné lézie a polypy, ktoré by mohli uniknúť ľudskému oku.
Zlepšuje presnosť, efektivitu aj kvalitu vyšetrení a zároveň slúži ako vzdelávací nástroj pre mladších endoskopistov. Systém je už nasadený alebo sa pripravuje na implementáciu vo viacerých nemocniciach skupiny AGEL v Česku a na Slovensku.
Pilotný projekt vznikol v Nemocnici AGEL Nový Jičín, kde sa potvrdil jeho významný prínos pre prevenciu onkologických ochorení. Podľa odborníkov MAIA nenahrádza lekára, ale zvyšuje jeho diagnostickú presnosť a urýchľuje rozhodovanie počas vyšetrenia.
Vďaka projektu Inovation Hub AGEL sa plánuje jej rozšírenie aj do ďalších odborov a integrácia do nemocničných systémov. AGEL je prvým poskytovateľom zdravotnej starostlivosti v strednej Európe, ktorý plošne nasadil AI v gastroenterológii.
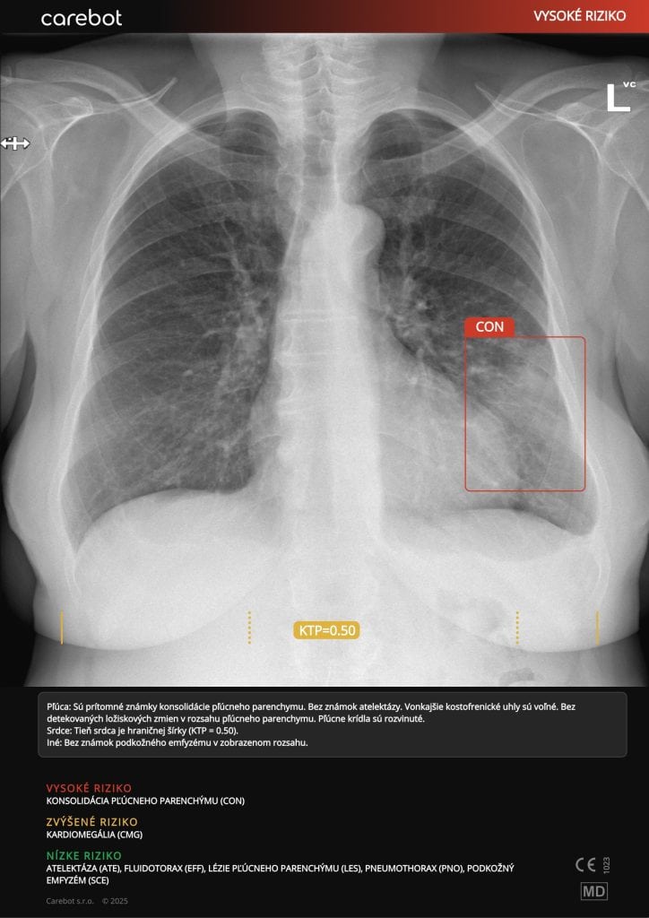
Carebot AI
Skupina AGEL rozširuje využívanie umelej inteligencie Carebot AI na automatickú analýzu röntgenových snímok hrudníka a kostí. Systém dokáže v priebehu niekoľkých sekúnd identifikovať viac než 60 typov nálezov, vrátane zápalov pľúc či zlomenín.
Carebot AI funguje ako „druhý pár očí“ – nehodnotí snímky namiesto lekára, ale upozorňuje na možné patologické oblasti.
Zvyšuje bezpečnosť pacienta, diagnostickú istotu a skracuje čas hodnotenia snímok až o 30 %. Pilotné nasadenie prebieha v Nemocnici AGEL Nový Jičín a ďalších zariadeniach s vysokým objemom vyšetrení. Podľa odborníkov ide o príklad zmysluplnej a praxe overenej implementácie umelej inteligencie v zdravotníctve. Systém je plne integrovaný do nemocničného PACS prostredia, čím odpadá potreba externého softvéru.

PM Cardio
Umožňuje okamžitú interpretáciu EKG záznamu priamo v mieste vyšetrenia pomocou fotografie z mobilného telefónu. Aplikácia dokáže analyzovať EKG do 5 sekúnd a s presnosťou porovnateľnou s kardiológom odhaliť viac ako 40 typov arytmií a srdcových abnormalít. V projekte je zapojených viac ako desať nemocníc AGEL na Slovensku aj v Česku (napr. Košice-Šaca, Komárno, Skalica, Levice, Zvolen, Levoča, Krompachy, Bánovce nad Bebravou) a pripravuje sa aj pilotné nasadenie v českých nemocniciach.
PM Cardio vzniklo v slovenskom startupe Powerful Medical a je certifikované ako zdravotnícke zariadenie triedy IIa (CE-MDR). V praxi dokáže skrátiť rozhodovací čas lekára až o 70 % a zvýšiť detekciu patologických EKG o 30 %. Systém funguje offline, vyžaduje len bežný smartfón a umožňuje okamžité uloženie výsledkov do elektronickej dokumentácie.

Projekt Diabetes
Program zahŕňa senzory Hippo na kontinuálne meranie glykémie a AI kamery Apollo na automatizovaný screening diabetickej retinopatie. Senzory Hippo predstavujú moderné a spoľahlivé riešenie pre nepretržité sledovanie hladiny cukru v krvi, ktoré zvyšuje komfort pacientov aj lekárov a uľahčuje dlhodobé sledovanie liečby.
Technológia umožňuje rýchlu a presnú identifikáciu rizikových pacientov a zefektívňuje proces prevencie komplikácií spojených s diabetom. Podľa MUDr. Michala Gregu, garanta projektu Diabetes a vedúceho lekára diabetologického centra Nemocnice AGEL Vítkovice, prinášajú senzory Hippo vyššiu dostupnosť moderných technológií a uľahčujú prácu lekárov pri hodnotení trendov glykémie.
Čítaj viac z kategórie: PR