Študent si na 3D tlačiarni vytlačil strojček na zuby. Ušetril a môže sa usmievať
- Amos Dudley sa v minulosti nezvykol príliš usmievať. Celé detstvo sa cítil nepríjemne, kvôli svojim zubom a za svoj chrup sa hanbil. Potom, ako sa ale rozhodol na 3D tlačiarni vytvoriť si nový strojček na zuby, má konečne parádny dôvod usmievať sa.
- Amos Dudley sa v minulosti nezvykol príliš usmievať. Celé detstvo sa cítil nepríjemne, kvôli svojim zubom a za svoj chrup sa hanbil. Potom, ako sa ale rozhodol na 3D tlačiarni vytvoriť si nový strojček na zuby, má konečne parádny dôvod usmievať sa.
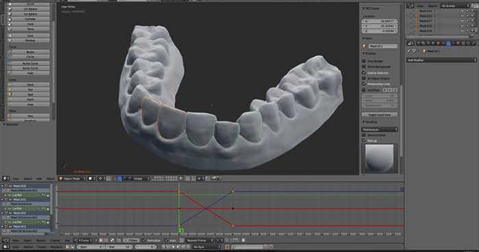
Amos, ktorý má 23 rokov a študuje dizajn na New Jersey Institute of Technology, prišiel so zaujímavým nápadom, keď si hľadal vhodný zubný strojček cez internet. Uvedomil si, že mnoho týchto strojčekov vyzeralo, ako niečo, čo by sa mohlo dať vytlačiť na 3D tlačiarni. Tento svoj nápad hneď aj otestoval.
Po hľadaní a skúmaní informácií o tom, ako strojček spraviť tak, aby na zuboch sedel správne, sa ho Amosovi podarilo vytlačiť. Ako si môžeš všimnúť na obrázkoch, tento jeho nápad vyšiel parádne. Celý projekt Amosa pritom stál menej ako 60 dolárov, čo je podstatne nižšia suma, ako tá, ktorú by nechal u zubára. No aj napriek tomuto úspechu, Amos neplánuje budovať svoju kariéru v odvetví zubných strojčekov.

zdroj: boredpanda.com, zdroj fotografií: boredpanda.com
Čítaj viac z kategórie: Inovácie a Eko



