Nedávno objavený orgán v našom tele je poriadne dôležitý. Môže pomôcť pri liečbe pacientov s rakovinou
- Zvláštne žľazy môžu hrať dôležitú rolu
- Umiestnené sú v zadnej časti nosohltanu
- Zvláštne žľazy môžu hrať dôležitú rolu
- Umiestnené sú v zadnej časti nosohltanu
Aj po stáročiach skúmania je ľudské telo jednou obrovskou záhadou, ktorá neustále prináša so sebou prekvapenia. Vedcom z Holandského onkologického ústavu sa totižto len pred pár mesiacmi podarilo objaviť slinné žľazy, o ktorých sa doposiaľ vôbec netušilo.
Ako informuje portál IFL Science, tento objav môže pomôcť pri liečbe onkologických pacientov s nádormi v krku a hlave. Tí totiž často trpia po rádioterapii suchom v ústach alebo problémami s prehĺtaním.
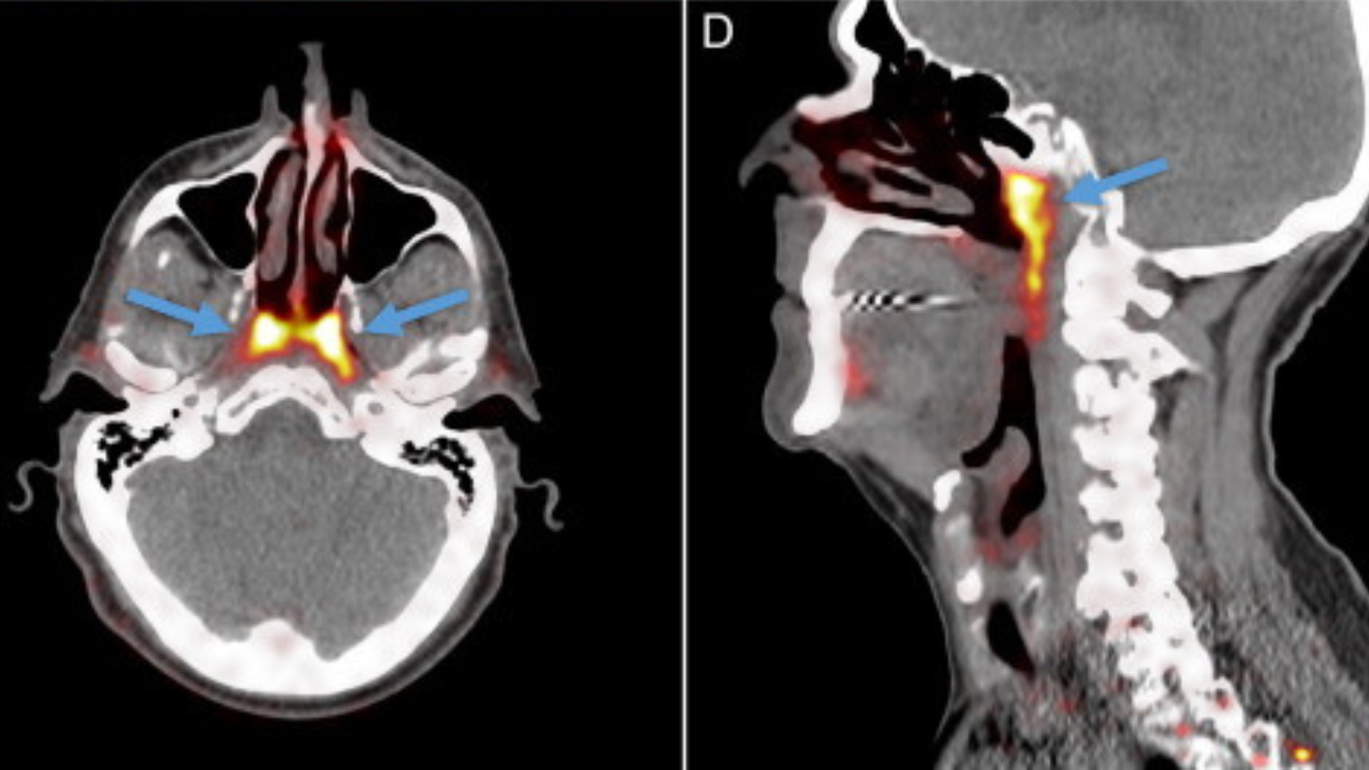
Rozžiarené škvrny
V roku 2018 sa podaril vedcom podobný úspech, keď náhodou objavili ďalší orgán v tele – vzájomne prepojené vaky naplnené tekutinou. Tentokrát ale onkológovia narazili pri novom druhu skenovania na dve zvláštne oblasti v hlave. Poďme si teda povedať, čo zvláštny útvar vlastne je.
Onkológovia z Holandského onkologického inštitútu popri svojom výskume pacientov s rakovinou krku a hlavy použili takzvanú pozitrónovú emisnú tomografiu/počítačovú tomografiu so skenmi prostatických špecifických membránových antigénnych ligandov (PSMA PET/CT). Práve tie sa ukázali ako účinný spôsob sledovania šírenia rakoviny prostaty po tele.
Pred samotným skenovaním sa pacientom vstrekne rádioaktívna glukóza, ktorá pomôže zvýrazniť nádory u pacienta a doslova ich rozžiari.
Pri používaní tohto skenovania si onkológovia u pacientov všimli dve oblasti v hlave, ktoré sa na obrazovke nečakane rozsvietili. Rozhodli sa preto, že skenovaniu podrobia aj ďalších pacientov, u ktorých bol výsledok rovnaký. Aj u nich sa totižto rozsvietila presne tá istá oblasť.
Všetkých 100 naskenovaných pacientov malo malé svetlé škvrny. Podľa slov onkológov nešlo o žiadnu podivnú anomáliu, bol to, jednoducho, úplne nový orgán.
Tubariálne žľazy
Nový objav, ktorý sa holandským onkológom podarilo učiniť, opísali aj v časopise Radiotherapy and Oncology. Ide o súbor slinných žliaz s viacerými drenážnymi kanálikmi, ktorý je umiestnený v zadnej časti nosohltanu.
„Ľudia majú tri sady veľkých slinných žliaz, ale nie tam,“ objasnil vo vyhlásení autor štúdie a radiačný onkológ Wouter Vogel. „Pokiaľ sme vedeli, jediné slinné alebo hlienové žľazy v nosohltane sú mikroskopicky malé a až 1 000 je rovnomerne rozmiestnených po celej sliznici. Predstavte si naše prekvapenie, keď sme ich našli.“
Svoje zistenia potvrdil skúsený tím onkológov spoločne s kolegami z Amsterdam UMC za pomoci mŕtvych tiel. Novoobjavený orgán ľudstva sa rozhodli nazvať ako „tuburiálne žľazy“, pričom trefne odkazujú na ich umiestnenie.

Tieto žľazy by mohli byť podľa odborníkov príčinou viacerých komplikácií u pacientov podstupujúcich ožarovanie vrátane dysfágie (problémy s prehĺtaním). Nový objav by im mohol dopomôcť vyhnúť sa tejto oblasti, aby sa predišlo všetkým potenciálnym komplikáciám.
Koniec komplikáciám
„Radiačná terapia môže poškodiť slinné žľazy, čo môže viesť ku komplikáciám,“ ozrejmil Vogel. „Pacienti môžu mať problémy s jedením, prehĺtaním alebo rozprávaním, čo môže byť poriadna záťaž.“
Tím odborníkov sa zameral na celkom 723 pacientov, ktorí už podstúpili radiačnú liečbu v spomínanej oblasti. Podarilo sa im tak zistiť, že čím viac žiarenia tam prenikne, tým viac komplikácií zažívajú pacienti po liečbe. Do budúcnosti je však táto správa skutočne dobrá.
„Pre väčšinu pacientov by malo byť technicky možné vyhnúť sa dodaniu žiarenia do tohto novoobjaveného miesta systému slinných žliaz rovnakým spôsobom, akým sa snažíme ušetriť známe žľazy,“ povedal Vogel.
Čítaj viac z kategórie: Štúdie, prieskumy a analýzy
Zdroje: IFL Science, Radiotherapy and Oncology, University of Limerick